Revolutionising 3D breast ultrasound
SOFIA combines speed, accuracy, and patient comfort in one seamless 3D breast ultrasound system for earlier detection of cancer for dense breast patients.
.webp)
Meet SOFIA
SOFIA combines speed, accuracy, and patient comfort in one seamless 3D breast ultrasound system for earlier detection of cancer for dense breast patients.
How SOFIA works
What women are saying about SOFIA
“Finally, Answers! My OB/GYN informed me that I have dense breast tissue that can hide cancers on mammograms. SOFIA uses ultrasound that images through dense tissue.”
It was the most comfortable breast exam ever! There was no mashing, man-handling, or injections. It was like lying on a tropical beach. All of my girlfriends need to know about SOFIA!
I’m a modest and reserved individual. I appreciated that they respected my culture, the importance of privacy, and that I could remain covered during the exam.
In the grocery store, I look for all-natural products and exercise regularly. Holistic health is important to me, and I was impressed to learn that SOFIA utilizes sound waves instead of radiation like Mammograms and doesn’t require contrast to be injected.
.webp)
Are you dense?
We’re all reminded of the importance of yearly mammograms — they help detect issues early and save lives. But what many women don’t know is that dense breast tissue can make it harder to spot cancer on a mammogram.
Dense breast tissue isn’t about size or weight; it’s about composition. Women with dense breasts have more supportive tissue than fat, and this dense tissue appears white on a mammogram — the same color as potential cancer markers — making detection more difficult.
Around 40% of women have dense breasts, and over 30 states now require that patients be notified. Because dense tissue can hide or mask cancers, mammography’s sensitivity is reduced. Women with dense breasts also face a 4–6x higher risk of developing breast cancer.
That’s why adding supplemental breast ultrasound, like SOFIA, can make a real difference — improving visibility through dense tissue and supporting earlier, more accurate diagnosis.
Dense breasts? What you need to know

What are dense breasts?
Dense breast tissue refers to how breast tissue appears on a mammogram.
Breast tissue is composed of milk glands, milk ducts and supportive/connective tissue (dense), and fatty tissue (non-dense). Dense breasts have more dense (connective) tissue than fatty tissue.
On a mammogram, fatty tissue appears dark and transparent. Dense tissue appears as a solid white area, which makes it difficult for the radiologist to see through.
Cancer and dense breast tissue appear white on a mammogram. This increases the chance that breast cancer will go undetected.
Know your risk factors
Recent study: what your mammogram might miss
In a recent study comparing combined screening with Ultrasound and Mammography vs. Mammography Alone in a dense breast population, researchers found:
(This study confirms that by adding a screening ultrasound for women with dense breast tissue, the detection rate for breast cancer is doubled, which means we can get more women into treatment at earlier stages.)

SOFIA can help!
The SOFIA scan provides women with dense breasts an option for earlier diagnosis of cancer using SOFIA 3D Breast Ultrasound.
Now that you know about dense breast tissue and how supplemental ultrasound imaging can help, schedule your SOFIA 3D Breast Ultrasound today!
The American Cancer Society (ACS) now places the relative risk of developing breast cancer due to high tissue density at 4–6 times the normal risk.
Frequently asked questions
No, SOFIA uses safe ultrasound technology.
Yes, SOFIA is safe for women with saline or silicone implants. There is no compression. We utilize your body's natural weight in a face-down position.
The SOFIA experience from the time you arrive until you depart typically takes less than 20 minutes, similar to a mammogram.
Yes, many mammography locations utilize artificial intelligence (AI) and will immediately proceed with the SOFIA Breast Ultrasound based on the density score.
No, all sizes of breasts can be scanned with SOFIA. Technicians are trained to make sure that the entire breast is scanned, even if it takes more than 1 pass.
Yes, SOFIA can be used for both men and mastectomy patients.
Yes, early diagnosis is important, particularly if there is a family history of cancer. Unlike a mammogram, the SOFIA 3D Breast Ultrasound does NOT use ionizing radiation.
Yes. Currently, mammography is the approved method for screening women between the ages of 40-75. Talk with your doctor to determine what is right for your health.
Breast ultrasound has been shown to nearly double the early detection rate of breast cancer in women with dense breast tissue. Ultrasound is capable of detecting cancers that cannot be found on mammograms or physical exams, which is why some doctors recommend it be included as part of a woman's well health check.
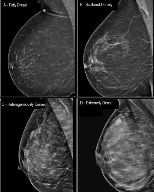
Radiologists are required to notify patients of density as part of their mammography report. Read the report carefully and or ask your doctor. Look for any descriptions of your breast tissue density. Sometimes the report will indicate a density category (A to D) or utilize associated words to describe the level of density as determined by the radiologist
A - Fatty (Non-Dense)
B - Scattered Density (Non-Dense)
C - Heterogeneously Dense (Dense Breasts)
D - Extremely Dense (Dense Breasts)
Having dense breast tissue is normal and common. In the US, over 40% of women in their 50s have dense breast tissue. Breasts are composed of milk glands, fat, and fibrous tissues. The greater the percentage of fibrous tissue and glands compared to fat, the denser the breast appears.
Individuals with dense breasts have a 6 times greater risk of developing breast cancer. On a mammogram, both dense tissue and cancers appear as white, making the identification of tumors early more difficult. As a woman ages, her breasts usually become more fatty.
Over 35 states have laws specifically related to healthcare coverage for SOFIA breast ultrasound exams. In addition, some states have passed additional legislation eliminating co-pays and deductibles, thereby removing patient out-of-pocket costs. For more details, see the state-by-state information here
Resources, links & news
Explore clinical breast ultrasound images captured with SOFIA, showcasing various tissue types and conditions with exceptional clarity.
SOFIA, your answer.






.webp)
.webp)

.webp)
.webp)

.webp)



.webp)


















